
“医生,我儿子这牙还有救吗?” 在广州医科大学附属口腔医院荔湾院区牙体牙髓科诊室里,家长焦急地向张晓萌医生求助。17岁的少年小宇(化名)因长期每天至少喝1瓶可乐,多颗牙齿出现龋坏配资资讯之家,其中5颗牙已 “蛀出洞”,不仅影响美观,还让他不敢尽情笑了。
多发龋的 “隐形推手”:
碳酸饮料成青少年牙齿杀手
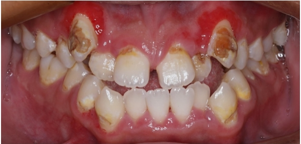
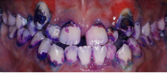
张晓萌医生为小宇做了详细检查,发现他的牙齿存在不同程度的龋坏,属于龋齿高风险人群。通过菌斑染色可见,牙齿表面附着大量菌斑,这些正是导致龋病的“罪魁祸首”。
“长期饮用可乐等碳酸饮料,是青少年龋齿的重要诱因。” 张晓萌医生解释道,碳酸饮料中的酸性物质会腐蚀牙釉质,而其中的糖分则为口腔中的细菌提供了养分,细菌分解糖分产生的酸性物质会进一步加重牙齿的损害。小宇每天1瓶可乐的习惯,无疑让牙齿长期处于“被侵蚀”的状态。

治疗前口内照(张晓萌医生提供)

治疗前口内照(菌斑染色,张晓萌医生提供)
科学评估与精准治疗:
微创技术守护牙齿健康
治疗的核心目标是终止龋损发展、修复现有缺损、建立健康口腔环境。张晓萌医生采用 ADA(美国牙科协会)版龋病风险评估表,从小宇的饮食习惯、口腔卫生状况、既往龋病史等多维度进行综合判断,明确了龋坏进展速度和潜在风险,为制定治疗方案提供了科学依据。
根据评估结果,张晓萌医生为小宇制定了“微创渗透树脂 + 树脂充填”的治疗方案:
针对尚未形成明显龋洞的龋损,采用渗透树脂技术。这一技术是早期龋微创治疗的优秀代表,能最大程度保存健康牙体组织(小宇只做了上颌牙齿的微创修复)。
对于已经形成龋洞的牙齿(如 33 唇面、36 颌面、37 颌面、43 唇面、47 远中邻颌面),进行树脂充填修复。
治疗后,小宇的牙齿外观得到了明显改善,龋坏部位被精准修复。3个月后电话回访时,小宇的家属反馈,他的牙齿对冷热酸甜刺激不再敏感,也没有出现新发色素沉着,治疗效果稳定。

治疗后即刻(张晓萌医生提供)
预防多发龋:
这些要点家长和青少年需牢记
张晓萌医生提醒,要避免出现多颗牙烂牙的情况,日常生活中需注意以下几点:
1.警惕“多发龋”
碳酸饮料是牙齿的“隐形杀手”,务必控制摄入,尤其避免含在口中过久。饮用后及时用清水漱口,半小时后再刷牙。
2.家庭维护是核心
坚持使用含氟牙膏,掌握正确的刷牙方法,定期到医院复诊,这些都是长期保持口腔健康的根本。
一口健康整齐的牙齿,是青少年自信笑容的基石。希望每个孩子都能重视口腔健康,远离龋病困扰,收获更健康、更灿烂的笑容!
专家介绍

-张晓萌-
荔湾院区牙体牙髓科
医师
硕士研究生
擅长:显微根管治疗,前牙渗透树脂修复,牙齿美白,龋病、牙髓病及根尖周疾病的诊治,多年从事显微根管治疗、树脂美学修复、CAD/CAM椅旁牙体缺损修复等。
简介:硕士毕业于吉林大学,中华口腔医学会会员。从事牙体牙髓临床及口腔材料相关科研工作多年。参与国家级、省级课题,发表多篇SCI及国内核心期刊。
文 | 张晓萌
图 | 荔湾院区牙体牙髓科
出品 | 广州医科大学附属口腔医院融媒体中心
转载请注明 | 广州医科大学附属口腔医院
配资资讯之家
盛康配资提示:文章来自网络,不代表本站观点。